The Devastating Truth Behind Sudden Swollen Gums You Can’t Ignore - Ready Digital AB
The Devastating Truth Behind Sudden Swollen Gums You Can’t Ignore
The Devastating Truth Behind Sudden Swollen Gums You Can’t Ignore
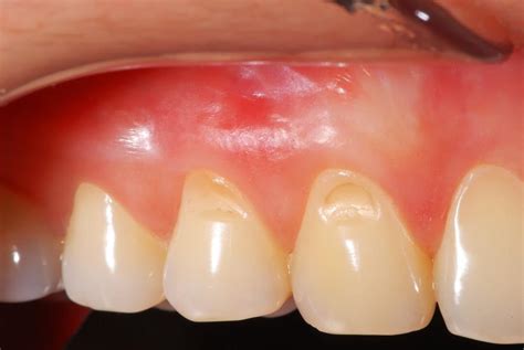
Swollen gums often catch your attention—not just for the discomfort they cause, but for what they might signal. While many dismiss a slightly puffy gum line as a simple irritation, sudden gum swelling can be a warning sign of underlying dental or medical issues that demand immediate attention. Ignoring swollen gums may lead to serious consequences, from infection to tooth loss. In this article, we explore the most common—and sometimes alarming—causes behind sudden gum swelling, why you shouldn’t overlook it, and what you should do immediately.
Understanding the Context
Why Sudden Swollen Gums Are a Red Flag You Can’t Afford to Ignore
Swelling in the gums is your body’s natural response to inflammation, infection, or trauma. While occasional gum tenderness may stem from poor oral hygiene, sudden or rapid swelling often points to more concerning conditions. Recognizing the warning signs early can be the key to preventing long-term damage to your gums, teeth, and overall health.
1. Gingivitis and Early Periodontitis: The Silent Triggers
Gingivitis—the mildest form of gum disease—is one of the primary causes of sudden gum swelling. It occurs when plaque builds up along the gumline, irritating soft tissues and triggering inflammation. Symptoms like redness, bleeding, and swelling usually appear rapidly and worsen without intervention. If left untreated, gingivitis can progress to periodontitis—a more severe form that damages the bone supporting your teeth and causes noticeable swelling, pain, and even tooth loss.
Image Gallery
Key Insights
2. Abscesses: A Dental Emergency You Cannot Ignore
A sudden, sharp or throbbing gum swelling often indicates a dental abscess—a pocket of infection that forms between teeth and gums. This serious condition results from trapped bacteria, leading to pus accumulation and intense discomfort. If untreated, abscesses can spread infection to surrounding tissues, cause systemic illness, or even threatenampicillin or emergency dental care.
3. Allergic Reactions or Systemic Conditions
🔗 Related Articles You Might Like:
📰 Why These Rare Rudolph the Red-Nosed Reindeer Characters Still Dominate Holiday Memories Online! 📰 Rugrats in Paris: The Movie Shaterials the Ultimate Family Adventure You Won’t Believe Exists! 📰 Rugrats in Paris The Movie – Is This the Happiest Adventure Ever?! 📰 Kingdom Come Deliverance 2 Release Date Revealedare You Ready For The Epic Expansion 📰 Kingdom Come Deliverance 2 Returns In X Weeks Heres The Truely Final Release Date 📰 Kingdom Come Deliverance Explained The Epic Ranked Moments That Defined 2024 📰 Kingdom Come Deliverance Hidden Secrets That Changed Gaming Forever Discover Them 📰 Kingdom Come Did You Miss These Life Changing Game Moments 📰 Kingdom Come From Rumors To Reality What Made It Unforgettable 📰 Kingdom Come Movie The Epic Sword Fight Youve Been Waiting Fortrailer Revealed 📰 Kingdom Come Movie The Most Immersive Medieval Action Youve Ever Seenwatch Now 📰 Kingdom Come Superman Heres Why Gamers Are Raging Over The Ultimate Crossover Profiles 📰 Kingdom Come Superman The Unreal Ending That Shocks Every Fan Spoiler Alert 📰 Kingdom Come The Ultimate Secrets Revealed No One Talks About 📰 Kingdom Hearts 2 The Shocking Secrets That Changed The Entire Story Forever 📰 Kingdom Hearts 3 How This Game Changed The Kingdom Foreverdont Miss The Heart Wrenching Finale 📰 Kingdom Hearts 3 Spoiler The Epic Showdown That Took The Series To A Whole New Level 📰 Kingdom Hearts 3 The Hidden Ending No Fan Should Missclick To DiscoverFinal Thoughts
Occasionally, sudden swelling of the gums is triggered by allergic responses—such as reactions to toothpaste, mouthwash, or dental materials. More concerning, systemic conditions like allergies, autoimmune diseases (e.g., lupus), or even hormone fluctuations (such as during pregnancy) may influence gum health and trigger swelling unrelated to oral bacteria.
4. Trauma or Physical Injury
A direct injury—like a fall, sports accident, or even a sharp tooth—can cause immediate gum swelling. Bruising, pain, and redness in the affected area are common. Though not always severe, delayed swelling or infection concurrent with the injury requires evaluation to avoid complications.
When Should You Seek Immediate Care?
You must act quickly if your swollen gums come with:
- Intense pain or sudden difficulty breathing/swallowing
- Fever or signs of systemic infection
- Pus discharge or foul taste
- Fever and swollen lymph nodes
These symptoms suggest a severe infection or abscess requiring antibiotics, drainage, or urgent dental treatment.